Ultrasound Services


General Ultrasound - Diagnostic

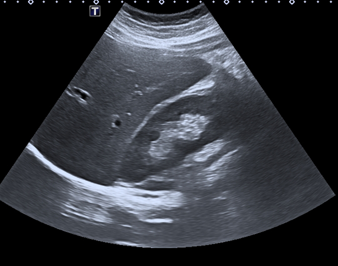
Abdominal 

Pelvic/ GYN

Soft Tissue / Lumps / Bumps

Renal / Kidneys

Thyroid

Scrotal

**RESULTS 24-72 HOURS**

SCRIPT REQUIRED FROM PROVIDER**

**Now offering TRANSVAGINAL Ultrasound **


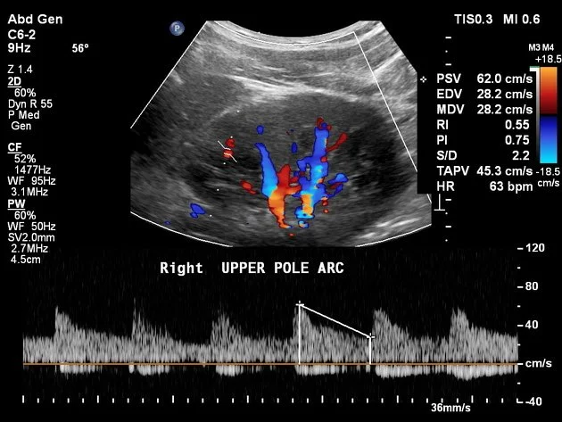
VAscular Ultrasound - Diagnostic

Venous Doppler

Arterial Doppler

Carotid Doppler

Renal Artery Doppler

Script required from provider**

**Results 24-72 hours


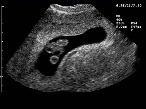
Pregnancy Ultrasound - Diagnostic

Pregnancy <14 Weeks

Pregnancy >14 Weeks

Pregnancy Multiples

Pregnancy (Bio-Physical Profile)

Script required from provider**

**Results 24-72 hours

** Now offering Early Pregnancy Ultrasound - with TRANSVAGINAL imaging!!


Screening Ultrasound

** No script required **

NON-Diagnostic Exam

(will not be read by a radiologist )

Screening exams - DO NOT replace medical treatment, they are for client purposes only to provide a peace of mind, and provide a general wellness check.

General Wellness Screen

Known Conditions Screen